Nuốt nghẹn, khó nuốt cứ nghĩ do trào ngược dạ dày, không đi thăm khám, tự ý mua thuốc về uống 2 tuần không đỡ mà tình trạng còn nặng thêm, đến uống nước cũng khó. Sau đó mới đến Hồng Hoàng thăm khám, ngỡ ngàng phát hiện mình bị mắc U sùi thực quản.

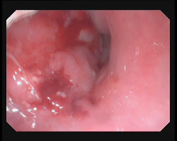
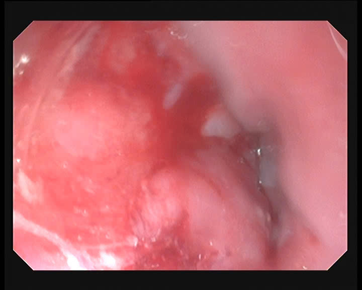
Vẫn bất ngờ vì mình vẫn khỏe mạnh, bình thường, không đau, không biểu hiện gì. 2 tuần nay mới thấy khó nuốt, nhưng đáng buồn thay là kết quả nội soi thực quản dạ dày cho thấy thực quản đoạn cách cung răng 28- 31 cm có khối sùi kích thước vừa, dễ chảy máu, ống soi đi qua được. Chẩn đoán theo dõi U sùi thực quản đoạn 1/3 giữa.


Một kết quả đáng buồn và là kinh nghiệm cho mọi người. Dù mình thấy khỏe mạnh cũng nên đi kiểm tra sức khỏe định kỳ, ít nhất 1 năm/lần, để biết được tình trạng sức khỏe bản thân, có viêm nhiễm gì không? Có thiếu chất gì không? Có mắc bệnh mãn tính nào không? Có dấu hiệu bất thường nào bên trong cơ thể mà mình chưa biết không??? Rất rất nhiều vấn đề.
Và đặc biệt không nên tự ý mua thuốc về điều trị khi chưa rõ nguyên nhân, ít nhất cũng nên đi khám xem mình mắc bệnh gì để có phương pháp điều trị phù hợp và hiệu quả.
---------
*=*=*=*=*=*=*=*=*
----𝗣𝗛𝗢̀𝗡𝗚 𝗞𝗛𝗔́𝗠 Đ𝗔 𝗞𝗛𝗢𝗔 𝗛𝗢̂̀𝗡𝗚 𝗛𝗢𝗔̀𝗡𝗚----
Sức khỏe của mọi người - Hạnh phúc cho mọi nhà
Số 18, ngõ 22, đường Hoàng Ngọc Phách, Thị trấn Đức Thọ, Hà Tĩnh
0837 38 26 28 - 0846 36 38 38
https://www.facebook.com/PhongkhamdakhoaHongHoang/
phongkhamdakhoahonghoang@gmail.com
Mùa đông buổi sáng: 7h - 11h30
Mùa đông buổi chiều: 13h30 - 17h
Khám BHYT từ thứ 2 đến thứ 7 hàng tuần
Khám dịch vụ tất cả các ngày trong tuần