alt

PHÁT HIỆN TRƯỜNG HỢP VIÊM PHỔI THÙY Ở TRẺ 5 TUỔI

  Thứ Mon, 11/09/2023

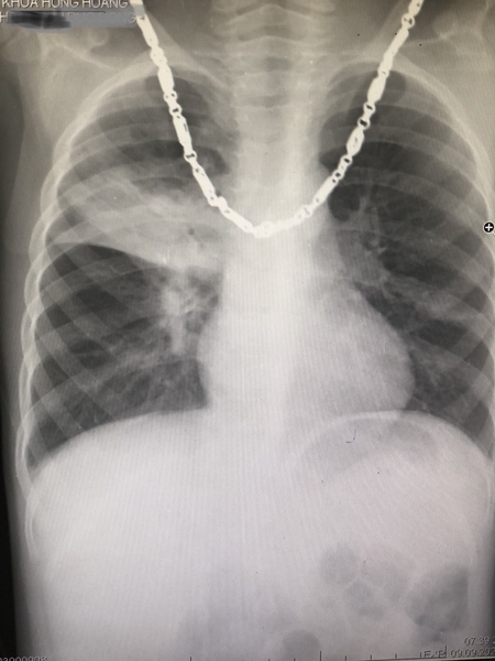
Vừa rồi Hồng Hoàng khám và điều trị cho bệnh nhân nhi 5 tuổi với triệu chứng sốt, ho. Sau quá trình khám bệnh, nghe tim phổi, cho làm xét nghiệm máu và chụp x-quang tim phổi nhận thấy cháu bị viêm phổi thùy. Bác sĩ đã cho cháu đơn thuốc điều trị phù hợp.

Viêm phổi thùy là tình trạng viêm nhiễm gây tổn thương nhu mô phổi bao gồm phế nang, túi phế nang, ống phế nang, tổ chức mô liên kết và tiểu phế quản tận cùng.

Viêm phổi thùy có thể gặp ở cả người lớn và trẻ em.

1. Nguyên nhân

- Vi khuẩn: Thường gặp nhất là phế cầu, các loại vi khuẩn khác như liên cầu, tụ cầu, - hemophilus influenza

- Virus: Cúm, sởi, ho gà..

- Ký sinh trùng.

2. Các yếu tố thuận lợi gây bệnh

- Thời tiết lạnh, giao mùa, bệnh hay xảy ra vào mùa đông

- Người cơ thể suy yếu, suy giảm miễn dịch, người già, trẻ em

- Người nghiện rượu, nghiện thuốc lá

- Người phải nằm lâu, điều trị dài ngày.

- Biến dạng lồng ngực như gù, vẹo cột sống

- Mắc bệnh phổi tắc nghẽn như COPD, hen phế quản.

- Mắc các bệnh đường hô hấp trên như viêm mũi họng, viêm xoang, viêm amidan

3. Dấu hiệu nhận biết viêm phổi thùy

- Sốt cao 39-40 độ C, sốt kèm rét run, mạch nhanh mặt đỏ, kích thích vật vã, sau vài giờ xuất hiện khó thở, toát mồ hôi, môi tím, thở nhanh, có thể li bì, hôn mê.

- Đau ngực: đau bên tổn thương, đau tăng khi người bệnh nằm nghiêng về bên tổn thương.

- Ho khan lúc đầu, ho nhẹ sau đó ho có đờm đặc có màu gỉ sắt (đặc trưng của viêm phổi thùy do phế cầu), ho nhiều từng cơn

- Rối loạn tiêu hóa nôn, buồn nôn, chướng bụng, đau bụng.

4. Biến chứng của bệnh viêm phổi thùy

– Viêm lan rộng gây xẹp thùy phổi, áp xe, tràn dịch màng phổi.

– Viêm mủ màng phổi thường gặp ở bệnh nhân khi điều trị bằng kháng sinh không có tác dụng với phế cầu, bệnh nhân bị sốt kéo dài, lượng bạch cầu tăng đột biến.

– Viêm màng não, viêm màng trong tim, viêm nội nhãn, viêm phúc mạc, viêm khớp nhiễm khuẩn,..

5. Điều trị viêm phổi thùy

- Điều trị kháng sinh theo kháng sinh đồ

- Bù nước và điện giải

- Điều trị các triệu chứng kèm theo

- Kết hợp với chế độ ăn uống: Ăn lỏng dễ tiêu, uống nhiều nước, ăn nhiều trái cây.

Cùng theo dõi phongkhamdakhoahonghoang.com và facebook Phòng khám đa khoa Hồng Hoàng để biết thêm nhiều thông tin về sức khỏe nhé!

----------

                    *=*=*=*=*=*=*=*=*

----𝗣𝗛𝗢̀𝗡𝗚 𝗞𝗛𝗔́𝗠 Đ𝗔 𝗞𝗛𝗢𝗔 𝗛𝗢̂̀𝗡𝗚 𝗛𝗢𝗔̀𝗡𝗚----

Sức khỏe của mọi người - Hạnh phúc cho mọi nhà

Triệu chứng khi mắc sốt xuất huyết Số 18, đường Hoàng Ngọc Phách, Thị trấn Đức Thọ, Hà Tĩnh

Triệu chứng khi mắc sốt xuất huyết 0837 38 26 28 - 0846 36 38 38

Triệu chứng khi mắc sốt xuất huyết https://www.facebook.com/PhongkhamdakhoaHongHoang/

Triệu chứng khi mắc sốt xuất huyết phongkhamdakhoahonghoang.com

Triệu chứng khi mắc sốt xuất huyết phongkhamdakhoahonghoang@gmail.com

Triệu chứng khi mắc sốt xuất huyết Khám BHYT từ thứ 2 đến thứ 7 hàng tuần

Triệu chứng khi mắc sốt xuất huyết Khám dịch vụ tất cả các ngày trong tuần.

Viết bình luận của bạn:

Đăng ký khám trực tuyến

Đặt lịch hẹn khám

Bạn đang cần được tư vấn ?