alt

Một lần chụp MRI - Phát hiện sớm hoại tử chỏm xương đùi, tránh nguy cơ phải thay khớp

  Thứ Fri, 27/03/2026

🍎Hoại tử chỏm xương đùi là một bệnh lý nguy hiểm của khớp háng, xảy ra khi nguồn máu nuôi dưỡng chỏm xương đùi bị suy giảm hoặc tắc nghẽn, khiến phần xương này dần bị hoại tử và có nguy cơ xẹp chỏm, thoái hóa khớp háng, ảnh hưởng nghiêm trọng đến khả năng vận động của người bệnh.

🍎Mới đây, tại Phòng khám Đa khoa Hồng Hoàng, các bác sĩ đã tiếp nhận một bệnh nhân đến khám với triệu chứng đau vùng háng, đau lan xuống đùi, đi lại khó khăn trong thời gian gần đây. Ban đầu, các triệu chứng khá âm ỉ nên bệnh nhân chủ quan, chỉ nghĩ là đau cơ xương thông thường.

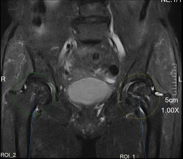
🍎Sau khi thăm khám lâm sàng, bác sĩ chỉ định chụp cộng hưởng từ (MRI) khớp háng để đánh giá chi tiết tình trạng xương và khớp.

Kết quả chụp MRI cho thấy dấu hiệu hoại tử chỏm xương đùi – một tổn thương khó phát hiện nếu chỉ chụp X-quang ở giai đoạn sớm. Nhờ hệ thống máy chụp cộng hưởng từ MRI hiện đại tại Hồng Hoàng, các bác sĩ đã phát hiện bệnh kịp thời, từ đó tư vấn hướng điều trị phù hợp cho bệnh nhân.

MRI – “chìa khóa” phát hiện bệnh từ rất sớm

Chụp cộng hưởng từ MRI khớp háng là phương pháp có độ chính xác cao giúp:
✔️ Phát hiện hoại tử chỏm xương đùi ở giai đoạn rất sớm khi X-quang chưa thấy tổn thương
✔️ Đánh giá mức độ tổn thương của xương và khớp
✔️ Giúp bác sĩ lựa chọn phương pháp điều trị phù hợp, kịp thời

Phát hiện sớm có thể giúp người bệnh điều trị bảo tồn, giảm nguy cơ phải phẫu thuật thay khớp.

Khi nào nên đi kiểm tra khớp háng?

Bạn nên thăm khám sớm khi có các dấu hiệu:
🔸 Đau vùng háng, đau mông kéo dài
🔸 Đau tăng khi đi lại hoặc xoay chân
🔸 Hạn chế vận động khớp háng
🔸 Người có tiền sử dùng corticoid lâu ngày, uống rượu nhiều, chấn thương khớp háng

Phòng khám Đa khoa Hồng Hoàng với hệ thống máy chụp cộng hưởng từ MRI hiện đại cùng đội ngũ bác sĩ giàu kinh nghiệm luôn sẵn sàng hỗ trợ người bệnh phát hiện và điều trị bệnh lý cơ xương khớp kịp thời.

-----------

                 *=*=*=*=*=*=*=*=*

----𝗣𝗛𝗢̀𝗡𝗚 𝗞𝗛𝗔́𝗠 Đ𝗔 𝗞𝗛𝗢𝗔 𝗛𝗢̂̀𝗡𝗚 𝗛𝗢𝗔̀𝗡𝗚----

Sức khỏe của mọi người - Hạnh phúc cho mọi nhà

Khám sức khỏe định kỳ cho cơ quan, doanh nghiệp Số 18, ngõ 22, đường Hoàng Ngọc Phách, Thị trấn Đức Thọ, Hà Tĩnh

Khám sức khỏe định kỳ cho cơ quan, doanh nghiệp 0837 38 26 28 - 0846 36 38 38

Khám sức khỏe định kỳ cho cơ quan, doanh nghiệp https://www.facebook.com/PhongkhamdakhoaHongHoang/

Khám sức khỏe định kỳ cho cơ quan, doanh nghiệp phongkhamdakhoahonghoang.com

Khám sức khỏe định kỳ cho cơ quan, doanh nghiệp phongkhamdakhoahonghoang@gmail.com

Khám sức khỏe định kỳ cho cơ quan, doanh nghiệpMùa đông buổi sáng: 7h - 11h30

Khám sức khỏe định kỳ cho cơ quan, doanh nghiệpMùa đông buổi chiều: 13h30 - 17h

Khám sức khỏe định kỳ cho cơ quan, doanh nghiệp Khám BHYT từ thứ 2 đến thứ 7 hàng tuần

Khám sức khỏe định kỳ cho cơ quan, doanh nghiệp Khám dịch vụ tất cả các ngày trong tuần

 

Viết bình luận của bạn:

Đăng ký khám trực tuyến

Đặt lịch hẹn khám

Bạn đang cần được tư vấn ?