alt

Chụp phim Cone Beam CT

  Thứ Fri, 06/12/2024

Chụp phim Cone Beam CT

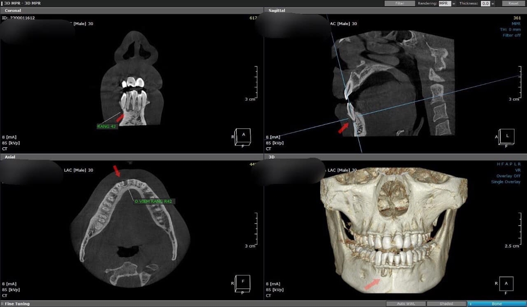
Chụp phim Cone Beam CT là một kỹ thuật hình ảnh y khoa sử dụng tia X để tạo ra hình ảnh 3D chi tiết của hàm răng, xương hàm và các cấu trúc xung quanh. Với độ chính xác cao, Cone Beam CT đã trở thành một công cụ không thể thiếu trong nha khoa hiện đại, đặc biệt trong các trường hợp phức tạp như trồng răng implant, niềng răng…

  1. Chụp phim Cone Beam CT là gì?

Cone Beam CT (Cone Beam Computed Tomography) là máy chụp phim thông qua sự kết nối giữa máy tính và các phần mềm chuyên dụng để xuất ra hình ảnh 3 chiều của mô răng, mô mềm, xương hàm và ống thần kinh chỉ bằng 1 lần quét duy nhất. Hình ảnh thu được giúp các nha sĩ có được phác đồ chi tiết, để lên kế hoạch điều trị đúng và tốt nhất cho người bệnh.

Chụp Cone Beam CT hay còn gọi chụp cắt lớp hình nón, là một loại Chụp phim Cone Beam CT là một kỹ thuật hình ảnh y khoa hiện đại sử dụng tia X để tạo ra những hình ảnh 3D chi tiết về hàm răng, xương hàm và các cấu trúc xung quanh. Khác với phim X-quang 2D truyền thống chỉ cung cấp một hình ảnh phẳng, Cone Beam CT cho phép nha sĩ quan sát toàn bộ hàm răng từ nhiều góc độ khác nhau, giống như một bản đồ 3D của vùng miệng.

  1. Ứng dụng của CBCT
  • Ứng dụng CBCT trong việc chẩn đoán trước phẫu thuật

Việc ứng dụng CBCT trong chẩn đoán trước phẫu thuật giúp các bác sĩ nha khoa đánh giá toàn diện cấu trúc giải phẫu vùng hàm mặt, từ đó lên kế hoạch điều trị chính xác và an toàn. Nhờ hình ảnh 3D, các bác sĩ có thể xác định rõ vị trí, kích thước và mối quan hệ giữa các cấu trúc giải phẫu quan trọng như dây thần kinh, xoang hàm, rễ răng... trước khi tiến hành phẫu thuật. Nhờ CBCT, bác sĩ có thể tránh tổn thương dây thần kinh, giảm thiểu nguy cơ tê môi dưới sau phẫu thuật.

  • Ứng dụng của CBCT trong điều trị nha khoa

CBCT là khả năng trực quan hóa vị trí và đường đi của ống dây thần kinh hàm dưới

Đối với các ca phẫu thuật vùng răng sau, CBCT giúp đánh giá chính xác kích thước và hình dạng của hố dưới hàm, từ đó xác định vị trí đặt implant an toàn và hiệu quả. Đặc biệt, trong trường hợp có lẹm xương, CBCT giúp phát hiện sớm và lên kế hoạch phẫu thuật phù hợp, tránh nguy cơ thủng xương và chảy máu.

Với các ca phẫu thuật vùng răng trên, CBCT giúp xác định chính xác vị trí và kích thước của xoang hàm, lỗ khẩu cái, hố trong vòm họng... Nhờ đó, bác sĩ có thể lên kế hoạch nâng xoang, mở vạt hoặc các thủ thuật phẫu thuật khác một cách an toàn và hiệu quả.

Ngoài ra, CBCT còn được ứng dụng để đánh giá chất lượng xương, phát hiện các bệnh lý về xương hàm, lập kế hoạch ghép xương... Nhờ đó, bác sĩ có thể đưa ra những quyết định điều trị tối ưu cho từng bệnh nhân.

  • Ứng dụng CBCT trong Implant nha khoa

Trong cấy ghép implant, CBCT đóng vai trò quan trọng trong việc đánh giá chính xác chất lượng và khối lượng xương hàm, vị trí của dây thần kinh và xoang hàm. Nhờ hình ảnh 3D chi tiết, bác sĩ có thể lên kế hoạch cấy ghép một cách tỉ mỉ, đảm bảo implant được đặt vào vị trí tối ưu, tăng khả năng thành công của ca điều trị.

CBCT cũng cho phép bác sĩ tạo ra các mô hình 3D của hàm răng, giúp trực quan hóa các cấu trúc giải phẫu và lên kế hoạch điều trị phức tạp như nâng xoang, ghép xương. Ngoài ra, CBCT còn được sử dụng để sản xuất máng phẫu thuật, giúp cho quá trình đặt implant trở nên chính xác và an toàn hơn.

  • Ứng dụng CBCT  khảo sát xoang

Hình ảnh CBCT cho phép nha sĩ quan sát rõ ràng các xoang mũi, đặc biệt là xoang hàm trên - xoang lớn nhất và có liên quan trực tiếp đến vùng răng hàm trên. Trong điều kiện bình thường, xoang sẽ xuất hiện dưới dạng các vùng tối trên phim. Tuy nhiên, khi có các vấn đề về xoang như viêm, dị ứng, u nang... các vùng này sẽ xuất hiện những thay đổi về mật độ, giúp nha sĩ phát hiện sớm các bệnh lý.

Ngoài viêm xoang, CBCT còn giúp phát hiện các bệnh lý khác như u nang xoang hàm, vách ngăn xoang. U nang xoang thường xuất hiện dưới dạng một khối tròn hoặc bầu dục, có viền rõ ràng. Vách ngăn xoang là một vách xương chia xoang thành hai phần, nếu vách ngăn quá dày hoặc lệch lạc có thể gây khó khăn cho việc điều trị các bệnh lý về xoang.

  • Ứng dụng CBCT trong chỉnh nha

Với CBCT, bác sĩ có thể phân tích chi tiết hình thái khuôn mặt, đo đạc các góc độ và tỷ lệ, giúp xác định các bất thường về xương hàm và răng. Thông tin này rất hữu ích trong các trường hợp cần kết hợp phẫu thuật chỉnh hình để đạt được kết quả điều trị tốt nhất.

Ngoài ra, CBCT còn giúp xác định chính xác vị trí của răng ngầm, răng khôn và các cấu trúc giải phẫu xung quanh. Nhờ đó, bác sĩ có thể lựa chọn phương pháp điều trị phù hợp, giảm thiểu rủi ro và tăng hiệu quả điều trị.

  • CBCT mang lại nhiều lợi ích trong điều trị nội nha:

+ Đánh giá độ phức tạp của ống tủy: Phát hiện các ống tủy phụ, các đường cong của ống tủy, giúp lên kế hoạch điều trị chính xác.

+ Đánh giá các tổn thương ở chân răng: Phát hiện các lỗ rò, u nang chân răng, giúp đưa ra phương án điều trị phù hợp.

+ Đánh giá hiệu quả điều trị: Kiểm tra lại sau khi điều trị để đánh giá tình trạng hàn kín ống tủy, phát hiện các biến chứng.

+ Lên kế hoạch phẫu thuật nội nha: Xác định vị trí của chóp răng và các cấu trúc xung quanh, giúp phẫu thuật an toàn và hiệu quả.

  1. Chụp Cone Beam CT có an toàn không?

Chụp Cone Beam CT (CBCT) là một kỹ thuật hình ảnh y khoa sử dụng tia X để tạo ra hình ảnh 3D chi tiết của xương hàm, răng và các cấu trúc liên quan. Nhưng nó:

  • Lượng bức xạ thấp: So với các kỹ thuật chụp Xquang truyền thống, lượng bức xạ mà máy CBCT phát ra thấp hơn rất nhiều. Điều này giúp giảm thiểu tối đa tác động của tia X lên cơ thể người bệnh.
  • Không xâm lấn: Quá trình chụp CBCT không yêu cầu các thủ thuật xâm lấn, chỉ cần bệnh nhân ngồi hoặc nằm yên trong máy. Do đó, bệnh nhân sẽ không cảm thấy đau đớn trong suốt quá trình thực hiện.
  • Thời gian chụp ngắn: Thời gian để chụp một bộ phim CBCT thường rất ngắn, chỉ vài phút, giúp giảm thiểu thời gian tiếp xúc của bệnh nhân với tia X.

Ứng dụng rộng rãi: CBCT được sử dụng rộng rãi trong nhiều lĩnh vực nha khoa chứng tỏ sự an toàn và hiệu quả của kỹ thuật này.

CT cone beam là kỹ thuật không xâm lấn, nên hoàn toàn an toàn và không gây đau cho bệnh nhân.

Tuy nhiên, vẫn có một số lưu ý bệnh nhân khi thực hiện kỹ thuật này:

  • Phụ nữ mang thai: Nên cân nhắc kỹ lưỡng trước khi chụp CBCT, vì bất kỳ loại bức xạ nào cũng có thể ảnh hưởng đến thai nhi.
  • Người có dị ứng với thuốc cản quang: Nếu có dị ứng với thuốc cản quang, hãy thông báo cho bác sĩ trước khi chụp.
  • Tình trạng sức khỏe đặc biệt: Nếu có bất kỳ tình trạng sức khỏe đặc biệt nào, hãy thông báo cho bác sĩ để được tư vấn cụ thể.
  1. Ưu điểm của Cone Beam CT
  • Hình ảnh 3D chi tiết: CBCT tạo ra hình ảnh ba chiều rõ nét về cấu trúc xương hàm, răng, mô mềm và thần kinh. Điều này giúp bác sĩ nha khoa đánh giá toàn diện tình trạng răng miệng của bệnh nhân, từ đó đưa ra kế hoạch điều trị phù hợp.
  • Chẩn đoán chính xác các bệnh lý: CBCT giúp phát hiện sớm các bệnh lý về răng miệng như u nang, khối u, viêm nhiễm, các vấn đề về xương hàm... mà các phương pháp chụp Xquang 2D khó phát hiện.
  • Lập kế hoạch điều trị chính xác: Hình ảnh 3D chi tiết từ CBCT giúp bác sĩ lập kế hoạch điều trị một cách tỉ mỉ và chính xác hơn.
  • Giảm thiểu rủi ro trong phẫu thuật: Nhờ hình ảnh 3D, bác sĩ có thể xác định chính xác vị trí của các cấu trúc giải phẫu, giúp giảm thiểu tối đa các biến chứng trong quá trình phẫu thuật.
  • Đánh giá hiệu quả điều trị: CBCT giúp theo dõi quá trình điều trị và đánh giá hiệu quả của các phương pháp điều trị.
  • Tăng tính thẩm mỹ: Hình ảnh 3D giúp bác sĩ và bệnh nhân dễ dàng hình dung được kết quả điều trị, từ đó tăng tính thẩm mỹ cho hàm răng.
  • Tiết kiệm thời gian: Quá trình chụp CBCT nhanh chóng, giúp tiết kiệm thời gian cho cả bác sĩ và bệnh nhân.
  • An toàn: Mặc dù sử dụng tia X, nhưng liều lượng tia X trong chụp CBCT rất thấp và được kiểm soát chặt chẽ, đảm bảo an toàn cho bệnh nhân.

  1. Chuẩn bị trước và trong khi chụp

Trước khi tiến hành chụp Cone Beam CT bệnh nhân cần thông báo cho bác sĩ những thông tin sau:

  • Tình trạng sức khỏe: Thông báo cho bác sĩ nếu đang mang thai, đang cho con bú, có tiền sử dị ứng với thuốc cản quang hoặc bất kỳ loại thuốc nào khác, hoặc đang sử dụng bất kỳ loại thuốc nào đặc biệt.
  • Vật dụng kim loại: Trước khi chụp cần tháo bỏ tất cả các vật dụng kim loại như: Trang sức (nhẫn, vòng tay, dây chuyền, khuyên tai...), kính mắt, hàm giả tháo lắp, máy trợ thính, các vật dụng kim loại khác trong vùng đầu và cổ.

Trong quá trình chụp cần tuân thủ:

  • Tuân thủ hướng dẫn của bác sĩ và kỹ thuật viên để quá trình chụp diễn ra nhanh chóng và chính xác.
  • Việc giữ yên trong quá trình chụp rất quan trọng để đảm bảo hình ảnh sắc nét, không bị mờ nhòe.

--------

                   *=*=*=*=*=*=*=*=*

----𝗣𝗛𝗢̀𝗡𝗚 𝗞𝗛𝗔́𝗠 Đ𝗔 𝗞𝗛𝗢𝗔 𝗛𝗢̂̀𝗡𝗚 𝗛𝗢𝗔̀𝗡𝗚----

Sức khỏe của mọi người - Hạnh phúc cho mọi nhà

🏥 Số 18, ngõ 22, đường Hoàng Ngọc Phách, Thị trấn Đức Thọ, Hà Tĩnh

📞 0837 38 26 28 - 0846 36 38 38

🌏 https://www.facebook.com/PhongkhamdakhoaHongHoang/

🌐 phongkhamdakhoahonghoang.com

📧 phongkhamdakhoahonghoang@gmail.com

🕰Mùa đông buổi sáng: 7h - 11h30

⏳Mùa đông buổi chiều: 13h30 - 17h

🌺 Khám BHYT từ thứ 2 đến thứ 7 hàng tuần

🍀 Khám dịch vụ tất cả các ngày trong tuần

Viết bình luận của bạn:

Đăng ký khám trực tuyến

Đặt lịch hẹn khám

Bạn đang cần được tư vấn ?