alt

Chụp cắt lớp vi tính răng hàm mặt tại Hồng Hoàng

  Thứ Wed, 03/01/2024

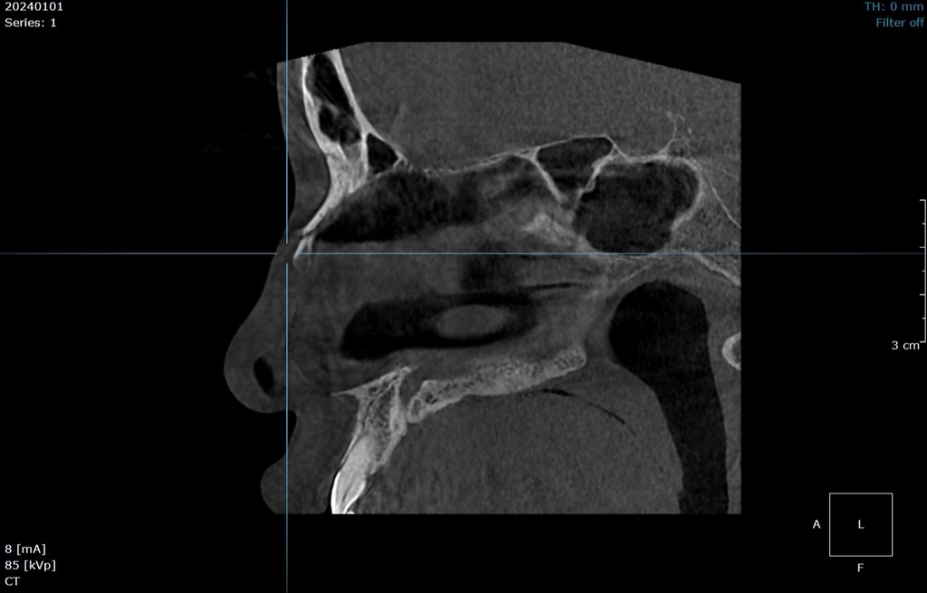
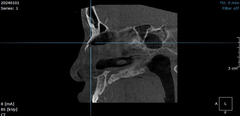
🪻Bệnh nhân bị chấn thương đến thăm khám tại Hồng Hoàng, thông qua hình ảnh chụp CLVT răng hàm mặt dưới đây chẩn đoán bệnh nhân bị gãy xương mũi.

----------------

🌹Chụp CLVT răng hàm mặt tại Hồng Hoàng giúp nhận biết được:

👉 Xác định mật độ xương hàm.

👉 Phát hiện được các tổn thương về xương ở khu vực hàm mặt: gãy xương, rạn xương, u nang...

👉 Phát hiện sớm các bệnh lý răng miệng như viêm lợi, sâu răng, viêm tủy,… xác định mức độ bệnh và đưa ra biện điều trị kịp thời.

👉 Xác định hình thái, hướng mọc của răng để kịp thời điều chỉnh. Từ đó hạn chế thương tổn nặng và khôi phục thẩm mỹ hàm răng.

----------------

                     *=*=*=*=*=*=*=*=*

----𝗣𝗛𝗢̀𝗡𝗚 𝗞𝗛𝗔́𝗠 Đ𝗔 𝗞𝗛𝗢𝗔 𝗛𝗢̂̀𝗡𝗚 𝗛𝗢𝗔̀𝗡𝗚----

Sức khỏe của mọi người - Hạnh phúc cho mọi nhà

🏥 Số 18, đường Hoàng Ngọc Phách, Thị trấn Đức Thọ, Hà Tĩnh

📞 0837 38 26 28 - 0846 36 38 38

🌏 https://www.facebook.com/PhongkhamdakhoaHongHoang/

🌐 phongkhamdakhoahonghoang.com

📧 phongkhamdakhoahonghoang@gmail.com

🌺 Khám BHYT từ thứ 2 đến thứ 7 hàng tuần

🍀 Khám dịch vụ tất cả các ngày trong tuần

Viết bình luận của bạn:

Đăng ký khám trực tuyến

Đặt lịch hẹn khám

Bạn đang cần được tư vấn ?