alt

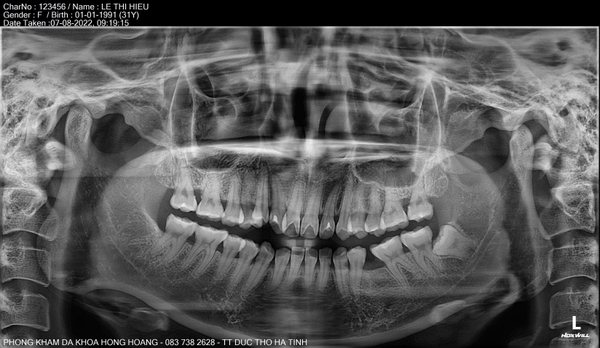
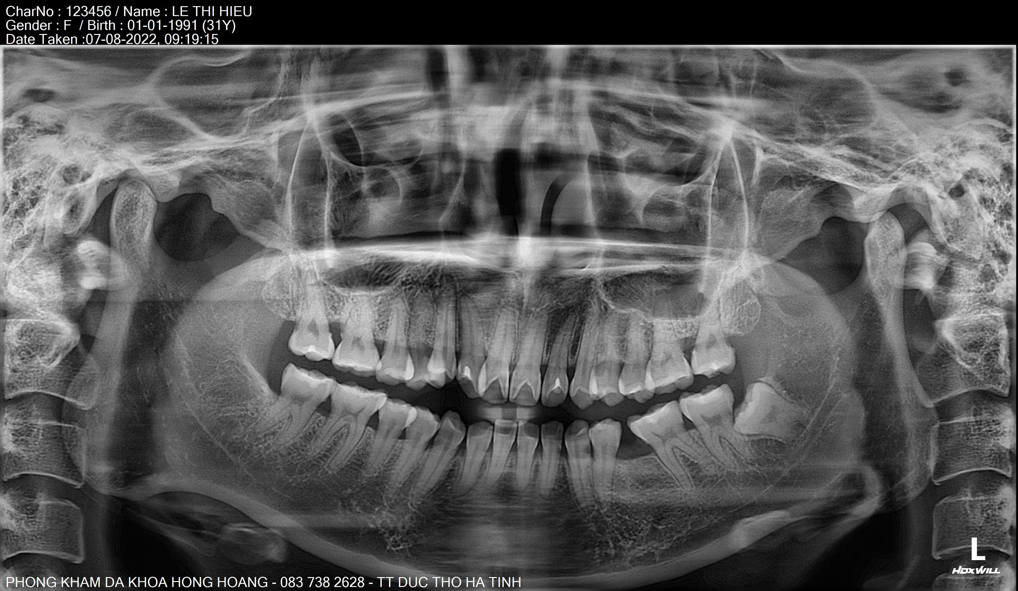
𝐇𝐈̀𝐍𝐇 𝐀̉𝐍𝐇 𝐂𝐇𝐔̣𝐏 𝐏𝐀𝐍𝐎𝐑𝐀𝐌𝐀 (𝐑𝐀̆𝐍𝐆 𝐓𝐎𝐀̀𝐍 𝐂𝐀̉𝐍𝐇) 𝐕𝐀̀ 𝐂𝐄𝐏𝐇𝐀𝐋𝐎 𝐁𝐀̆̀𝐍𝐆 𝐌𝐀́𝐘 𝐂𝐇𝐔̣𝐏 𝐂𝐀̆́𝐓 𝐋𝐎̛́𝐏 𝐕𝐈 𝐓𝐈́𝐍𝐇 𝐑𝐀̆𝐍𝐆 𝐇𝐀̀𝐌 𝐌𝐀̣̆𝐓.

  Thứ Mon, 26/06/2023

🍀Hình ảnh chụp phim panorama và cephalo (mặt thẳng, mặt nghiêng) giúp bác sỹ răng hàm mặt đánh giá phân tích được khung hàm trên của bệnh nhân và lập kế hoạch điều trị chuẩn xác.

- Mặt nghiêng (lateral cephalometric) : giúp chân đoán hướng tăng trưởng, kiểu mặt, hạng xương, tương quan, hướng tăng trưởng và hình dạng xương hàm dưới, chiều dài nền.

                                      

- Toàn cảnh ( panorama) : giúp nhìn thấy các trục chân răng, răng ngầm, các bệnh lý trong xương, tương quan lồi cầu 2 bên, hình dạng lồi cầu, các răng bệnh lý.

                                       

🌸 𝐏𝐡𝐨̀𝐧𝐠 𝐑𝐚̆𝐧𝐠 𝐡𝐚̀𝐦 𝐦𝐚̣̆𝐭 – 𝐏𝐡𝐨̀𝐧𝐠 𝐤𝐡𝐚́𝐦 đ𝐚 𝐤𝐡𝐨𝐚 𝐇𝐨̂̀𝐧𝐠 𝐇𝐨𝐚̀𝐧𝐠 𝐭𝐫𝐚𝐧𝐠 𝐛𝐢̣ đ𝐚̂̀𝐲 đ𝐮̉ 𝐭𝐫𝐚𝐧𝐠 𝐭𝐡𝐢𝐞̂́𝐭 𝐛𝐢̣ 𝐦𝐚́𝐲 𝐦𝐨́𝐜 𝐡𝐨̂̃ 𝐭𝐫𝐨̛̣ 𝐜𝐡𝐨 𝐛𝐞̣̂𝐧𝐡 𝐧𝐡𝐚̂𝐧 𝐪𝐮𝐚 𝐭𝐡𝐚̆𝐦 𝐤𝐡𝐚́𝐦.

=============

*=*=*=*=*=*=*=*=*

----𝗣𝗛𝗢̀𝗡𝗚 𝗞𝗛𝗔́𝗠 Đ𝗔 𝗞𝗛𝗢𝗔 𝗛𝗢̂̀𝗡𝗚 𝗛𝗢𝗔̀𝗡𝗚----

Sức khỏe của mọi người - Hạnh phúc cho mọi nhà

🏥 Thị trấn Đức Thọ, Hà Tĩnh

☎️ 0837 38 26 28 - 0846 36 38 38

👩‍⚕️ Khám BHYT từ thứ 2 đến thứ 7 hàng tuần

⏰ Khám dịch vụ tất cả các ngày trong tuần

Viết bình luận của bạn:

Đăng ký khám trực tuyến

Đặt lịch hẹn khám

Bạn đang cần được tư vấn ?